Elektroconvulsietherapie (ECT) stimuleert het brein. Maar wat gebeurt er precies in het brein? En kan ECT schade veroorzaken? Dat leest u in dit deel.
Hoe werkt ECT?
Er wordt veel onderzoek gedaan naar de precieze werkingsmechanismen van ECT. We weten dat ECT invloed heeft op de hersenen. Dit wordt ook onderzocht in diermodellen. Zo werden aan het eind van de vorige eeuw hersenen van ratten bestudeerd. Daar zorgde elektroconvulsieve stimulatie ervoor dat zenuwuitlopers in bepaalde delen van de hersenen gingen groeien.
Ook bij mensen wordt onderzoek gedaan naar veranderingen in de hersenen. Dit gebeurt bijvoorbeeld met MRI-scans, waarmee we plaatjes van de hersenen kunnen maken. Daaruit blijkt dat delen van de hersenen tijdelijk wat groter worden na ECT. In sommige hersengebieden heeft dat te maken met hoe goed iemand op de behandeling reageert. In andere gebieden zegt die verandering juist niets over het effect van ECT.
Onderzoekers bekeken hersenweefsel van mensen die behandeld waren met ECT. Daarin werden bepaalde stofjes gevonden die wijzen op groei en verandering van hersencellen. Dit heet neuroplasticiteit. Dat betekent dat de hersenen beter in staat zijn om zich aan te passen en te veranderen. Door ECT kunnen er nieuwe verbindingen tussen hersencellen ontstaan. Misschien worden er zelfs nieuwe hersencellen aangemaakt. Er is géén schade gevonden in de hersenen van mensen die ECT kregen. Dit ondersteunt het idee dat ECT helpt bij herstel, zonder schade in de hersenen aan te richten.
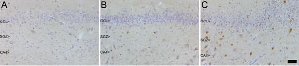
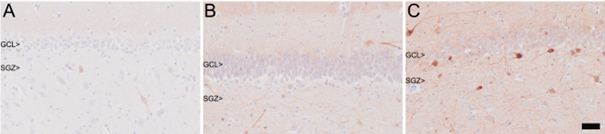
Hoe ziet verandering in het brein er na ECT uit?
Op de afbeelding zie je stukjes hersenweefsel van drie groepen mensen:
A. Mensen zonder depressie (gezonde groep)
B. Mensen met een depressie die géén ECT kregen
C. Mensen met een depressie die wél ECT kregen
Onderzoekers hebben in deze stukjes hersenen gekeken naar bepaalde stoffen. Deze stoffen zeggen iets over neuroplasticiteit. Dat betekent dat ze te maken hebben met groei en verandering in de hersenen, zoals het maken van nieuwe hersencellen of nieuwe verbindingen.
De hersencellen die deze stoffen bevatten zijn in de afbeeldingen bruin gekleurd. We zien dat deze stoffen meer aanwezig zijn in de hersenen van mensen die ECT kregen (plaatjes C). Deze afbeelding laat dus zien dat mensen die ECT kregen meer tekenen van groei of vernieuwing in hun hersenen laten zien dan mensen met een depressie die geen ECT kregen (plaatjes B), en zelfs meer dan gezonde mensen (plaatjes A). Dit wijst erop dat ECT de hersenen kan helpen zich te herstellen.


Hoe stimuleert ECT het brein?
Bij een ECT-behandeling wordt een gecontroleerde aanval opgewekt terwijl de patiënt slaapt door middel van narcose. Deze aanval lijkt op een epileptische aanval. De aanval is belangrijk voor het effect van de behandeling.
Neuronen in de hersenen communiceren met elektrische en chemische signalen. Deze communicatie gebeurt in verschillende netwerken en zorgt ervoor dat je kunt denken, bewegen, praten, voelen en nog veel meer. Bij ECT wordt stroom gebruikt om de hersenactiviteit tijdelijk te verhogen. De elektrische signalen in de hersenen gaan sneller dan normaal, en de netwerken worden tegelijkertijd actief. Dit is wat het lichaam normaal laat trillen bij een epileptische aanval, maar bij ECT krijgt de patiënt een medicijn zodat er geen spiertrekkingen optreden.
De stroom stimuleert de neuronen in de hersenen om meer activiteit te veroorzaken. De aanval duurt meestal tussen de 20 en 60 seconden, terwijl de patiënt onder narcose ligt en niets voelt.
Hoe ziet ECT eruit op een hersenscan?

Deze afbeeldingen laten zien hoe het elektrische veld in de hersenen werkt. Bij het plaatsen van de elektrode aan de rechterkant (RUL) stroomt de elektriciteit van de bovenste elektrode naar de onderste. De lichte gebieden laten zien waar de stroom is.

Hier ziet u het elektrische veld in de hersenen. Dit zijn simulaties, gebaseerd op een MRI-scan. Het is geen persoon die echt ECT heeft gehad.
Hier ziet u hoe de stroom van de bovenste elektrode naar de onderste beweegt. De pijlen laten de richting zien, en de kleuren geven aan waar de meeste elektriciteit is.
Het meeste van de elektriciteit gaat dus door de rechterkant van het hoofd.
Dit zijn datasimulaties, gemaakt van een MRI-scan. Het is dus geen persoon die daadwerkelijk ECT heeft gekregen.




